Kendi kendine yetme arayışının fazlaca ön plana çıktığı 2020 yılını tecrübe ettik. COVID-19 toplumu kapatırken, kendi içsel know-how’ımıza dayandık ve daha önce başkalarına yaptırdığımız görevlerin üstesinden gelmek için yepyeni beceriler geliştirdik... tabi ki değişen sonuçlar elde ettik. Artık sosyal medya timeline’ımızı arkadaşlarımızın “Kendi Kendine Yap” projeleri dolduruyor. Banyo tadilatları, mutfak geliştirmeleri, evde ekmek yapımı çoğu zaman profesyonellerin yardımı olmadan yapılabilse de kendi kendine evde diş beyazlatma eğilimleri genellikle (en iyi ihtimalle) etkisiz olabiliyor.
Parlak, beyaz bir gülümsemenin anahtarını ortaya çıkardığını iddia eden bloglar ve sosyal paylaşımlar hiç azalmıyor- üstelik yararsız, hatta zararlı oldukları kadar tuhaf da olabiliyorlar.
Estetik Diş Hekimi Dr. Jaimeé Morgan (Ultradent için diş beyazlatma üzerine kurslar veriyor), internette yayılan popüler “Kendi Kendine Yap” yöntemlerinden bazılarını inceledi.
Aktif Kömür (Charcoal) ile Fırçalama

Dr. Jaimeé Morgan: "Benim büyük sorum ‘Neden?’. Aktif kömür ile dişleri fırçalamanın diş macunundan daha iyi, daha güvenli veya daha etkili olduğunu gösteren bir bilimsel dayanak yok. [. . .] Dişleri aktif kömürle fırçalamanın büyük bir karmaşa olduğu diş hekimleri arasında yaygın olarak bilinen bir sorundur, üstelik diş eti kenarlarına yerleşmeyi de sever. Hijyenistlerim daha sonra içeri girmeli ve hastanın diş eti sınırlarından çıkarmakla uğraşmalı. Çıkarılması da çok zor! Aslında, klinik yöneticim ve hijyenistim aktif kömür macunu ile fırçalamaya bir fırsat verdi ve en hafif tabirle söylemek gerekirse, sonuçlar harika değildi. Hatta bu macunun ne kadar etkili olduğunu görmek için bir plak indikatörü bile kullandı, resimlerin kendileri konuşuyordu."
British Dental Journal tarafından yayınlanan ve BBC News tarafından bildirilen bir çalışma, aktif kömür diş macunları ile fırçalamanın faydalarını destekleyen hiçbir bilimsel kanıt olmadığını söylüyor. Hatta bu ürünlerin lekeleme ve çürük riskini arttırma gibi dişlere önemli ölçüde zararlar verebileceğini belirtiyor. Rapor ayrıca bu macunların normal diş macunlarından daha aşındırıcı olduğunu (potansiyel olarak mine ve diş etleri için riskler oluşturduğunu) ekliyor ve bunun yerine normal bir florürlü diş macunu kullanılmasını tavsiye ediyor.

Diş minesinin rengini gerçekten beyazlattığı kanıtlanmış tek madde peroksittir - hem hidrojen peroksit hem de karbamid peroksit. Kömürün aşındırıcılığı mevcut yüzey lekelerini çıkarmaya yardımcı olsa da aslında dişin rengini açamaz. Ayrıca, aktif kömür ile fırçalayan hastalar diş minelerini çok fazla aşındırma riski ile karşı karşıyadır - bu, hasar gördükten sonra tamir edilemeyen bir durumdur. Ayrıca, aktif kömürle fırçalayan pek çok kişi, siyah kömür kalıntısının kontrastından dolayı dişlerinin aslında daha beyaz olduğu yanılsaması yaşayabilir (çıkarılması çok zor olduğu için genellikle diş etlerinde ve dişler arasında kalır). Dişlerin daha beyaz görünmesini sağlayan mavi alt tonlu kırmızı parlak bir ruj sürmek ile kıyaslanabilecek bu zıtlık, siyah maddenin dişlerin üzerinde gösterilmesiyle göze oynanan basit bir illüzyon.
Aktif kömürü es geçin ve mineye zarar vermeden veya çizmeden yüzey lekelerini çıkaran nazik beyazlatıcı diş macunlarına (Opalescence™ Beyazlatıcı Diş Macunu gibi) doğru yönelin. Opalescence Boost™ ofis tipi beyazlatma veya Opalescence Go™ ev tipi beyazlatma gibi peroksit içeren profesyonel bir beyazlatma sistemi de net ışıltılı sonuçları verir!
Yağ Çekme (Oil Pulling)

Dr. Jaimeé Morgan: “Yağ çekme, bazıları tarafından bakterileri öldürmek, plağı çıkarmak, nefesi tazelemek ve dişleri beyazlatmak için bir araç olarak lanse edildi. Fakat bu 20 dakika sürer! İnsanların bunu yoğun programlarına nasıl sığdırması bekleniliyor? Üç dakika boyunca fırçalamak daha kolaydır, ve zaten daha da etkili olur. Ayrıca, yağ çekme sözde dişleri beyazlatıyor ve plağı çıkarıyorsa, plak ve plak indikatörünün yanı sıra aktif kömürden lekelenmeyi gidermede de etkili olması gerekmez mi? Bunu denedik. Aktif kömürle fırçaladıktan, plak indikatörü uyguladıktan ve yağ çekildikten sonra, leke, plak ve aktif kömür kalıntısı diş eti hattında hala mevcuttu. Opalescence Beyazlatıcı Diş Macunu gibi bir diş macunu ve iyi bir diş fırçası çok daha iyi bir iş çıkarırdı."
3.000 yıllık Ayurvedik yağ çekme uygulaması (Bir çorba kaşığı Hindistan cevizi yağı veya aspir yağını ağızda 20 dakika kadar dolaştırmak) teorik olarak hücre zarlarına yapışarak bakterilerden dişleri ve diş etlerini temizlediği varsayılmaktadır. İddiaya göre ağızdaki kötü bakteriler atıldığında (veya tükendiğinde), yağla birlikte tahliye olur. Ayrıca dişleri beyazlattığı, nefesi iyileştirdiği, baş ağrısını azalttığı, cildi temizlediği ve enerjiyi artırdığı söylenir. Ancak, düzenli yağ çekmenin faydalarını kanıtlayacak veya çürütecek hiçbir tutarlı veri yok. Tüm iddia edilen faydalar, tamamen anekdot niteliğindeki kanıtlarla desteklenmektedir.
Bunun aksine, pek çok sayısız veri ve bilimsel çalışma şu gerçeği desteklemektedir: düzenli olarak diş fırçalamak ve diş ipi kullanmak, diş hekimini ziyaret etmek ve ayrıca profesyonel ve diş hekimi gözetimindeki bir beyazlatma sistemiyle dişleri beyazlatmak (Ultradent'in Opalescence™ beyazlatma ürün ailesi gibi) hem kanıtlanmış etkilidir hem de en güvenilir yöntemdir.
Karbonat ve Limon Suyu Karışımı ile Fırçalama

Dr. Jaimeé Morgan: “Karbonat baziktir ve limon suyu asidiktir, bu yüzden ancak çok düzgün karıştırıldıklarında birbirlerini dengeleyebilirler. Doğru şekilde karıştırılmaması durumunda limon suyundaki asit diş minesine zarar verebilir veya karbonat tozu diş minesini aşındırabilir. Karbonatın koku önleyici özelliklerini seven hastalara, onunla fırçalamak yerine onu suyla karıştırıp çalkalamalarını tavsiye ederim."
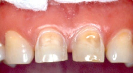
Dr. Morgan, dişleri limon suyuna maruz bırakmanın tehlikesini göstermek için bizimle limon emmeyi seven hastalarından birinin fotoğrafını paylaşıyor:

Sonuçta, Daha İyi Yollar Var
Dr. Morgan, bu evde diş beyazlatma heveslerini unutmanızı ve basitçe sürekli diş macunu ile dişlerinizi fırçalamanızı tavsiye ediyor. Diş minesi hasarı riskine girmek yerine, Dr. Morgan, ışıltılı sonuçlar için hastalarının Opalescence Beyazlatıcı Diş Macunu ile dişlerini fırçalamalarını sağlıyor!

Etkili ve sağlıklı profesyonel diş beyazlatma hakkında daha fazla bilgi için opalescence.com/tr adresini ziyaret edin.
